钛对灰铸铁件质量的影响
灰铸铁在高碳当量(4.10%CE以上)条件下,微量的钛能够提高铸铁件的力学性能并改善铸件不同断面的均匀性。本文研究了在中低碳当量(3.65%~3.85%CE)条件下,不同钛量对灰铸铁件组织、力学性能和致密性等质量的影响。试验结果表明:钛促进了铸铁件D型石墨的形成;当D型石墨达到一定比例时,尤其是Si/C较高的情况下,其力学性能增加明显;随着钛、铝量的增加,灰铸铁件的致密性下降,缩松概率增加。
在铸铁件的生产过程中,伴随着生铁和废钢等金属炉料的大量使用,钛或多或少进入了铁液之中。大量研究资料指出灰铸铁中加入钛后,大部分钛化合物存在于金属基体中,但仍有一部分钛的氮化物或碳氮化物存在于铁素体与石墨界面层内。硬度为3200 HV或更高的钛化合物大大降低铸铁的切削加工性能。另外过高的钛量(0.096%)在切削铸件时产生热裂纹。但是添加钛的D型石墨铸铁件具有良好的抗氧化性、抗生长和抗热疲劳性能,在500~700 ℃工况下,与常用CrMoCu铸铁相比,使用寿命可提高3倍。在球墨铸铁中钛作为干扰元素被严格禁止。但在部分蠕墨铸铁中,钛作为扩大蠕化处理范围的有益元素添加到蠕化剂中。在高碳当量条件下,微钛合金化能够提高灰铸铁件的强度与硬度,改善铸件的断面均匀性。微量的钛还可中和铸铁中过多的氮气,用来减少裂隙状氮气孔的发生频率。钛在铸铁中的作用有利有弊,本文中通过试验研究了不同造型条件下,钛对中低碳当量灰铸铁件石墨形态和力学性能的影响,并定量分析了不同钛含量对灰铸铁件致密性的影响。
1 试验条件与方法
由于钛可增加高碳当量灰铸铁件的力学性能,本试验选择中低碳当量的灰铸铁件作为对象,研究不同砂型条件下铸件组织的变化。试验采用250kg中频感应炉熔炼,炉料配比:Z14生铁40%,回炉料30%,废钢30%,一部分增碳剂和铬、铜合金。测温采用浸入式热电偶,出铁温度1500~1530 ℃,浇注温度1360~1400 ℃,炉前采用0.5%加入量的75硅铁孕育处理。
铸件分别采用水玻璃砂和粘土煤粉砂造型,其粘土砂性能控制在:水分4.0%~5.0%,紧实率50%~70%,透气性120~130,湿压强度0.12~0.14 MPa。砂型硬度控制在65~85之间,平面硬度在中上限,立面硬度在中限左右。力学性能试样使用水玻璃砂制作砂芯,直径30 mm的内腔使用醇基涂料。试验对象为26 kg多热节铸件,铸件结构与底注充型工艺如图1所示。

图1 铸件结构及工艺
2 试验内容与结果分析
2.1 钛对灰铸铁件组织和力学性能的影响
钛可增加灰铸铁中奥氏体核心,细化初生奥氏体晶粒。美国铸造工作者协会资料中指出:对于铸铁钛可起石墨化剂和还原剂的作用,还可以细化晶粒,提高铸铁抗拉强度和抗弯强度。当残余钛量为0.08%~0.25%,对碳当量高的铸铁可提高抗拉强度,对碳当量低的铸铁降低强度。但论述并没有指出钛对中间碳当量灰铸铁件的影响,因此试验由中低碳当量灰铸铁展开。方案:每炉铁液浇注3~4箱进行对比,第1箱一般采用基本HT250铁液成分,只加入孕育剂,不添加钛合金,第2~4箱加入不同含量钛合金,合金依次加入炉内。每包浇注2~4个试棒,1箱铸件。
前两次铸件采用水玻璃砂造型,后两次改用粘土煤粉砂造型,铁液成分如表1所示,力学性能和组织检测结果如表2所示。
表1 铁液成分 wB/%

表2 力学性能和石墨形态

从4次试验平均力学性能对比看出,第一次、第二次试验平均强度随着钛量的增加而下降,第三次、第四次试验平均强度随着钛量的增加而提高。这是因为加入钛后增加了铁液的过冷倾向,前两次试验钛含量相对较低,试棒组织中出现A型、D型石墨少、E型石墨多,造成强度下降。尤其是第一次试验碳当量最低,强度下降幅度最大,达41 MPa。后两次试验钛含量相对较高,试棒组织中出现A型、D型石墨多、E型石墨少,造成强度增加。此外第三次试验的总体强度偏高是由于三个试样的Si/C在0.72%~0.76%之间。资料指出含钛铸铁≥0.64%的Si/C能显著提高铸件力学性能。
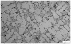
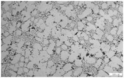
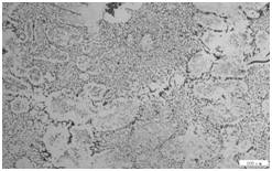
钛含量提高进一步促进了A型石墨向D型石墨的转变,D型石墨数量增多。后两次铸件采用粘土煤粉砂造型,铸件中D型石墨明显多于试棒,在厚大热节部位也大量出现D型石墨,见图2-图4。

图2 钛0.076%铸件圆热节石墨形态

图3 钛0.11%铸件方热节石墨形态

图4 钛0.11%铸件一般壁厚石墨形态
第四次试验铁液中钛含量为0.11%,试棒平均提高了17MPa,这是由于高钛试棒组织中90%以上为D型石墨,因而力学性能增加,采用粘土湿型砂的铸件由于冷却快,在铸件热节部位产生大量D型石墨。由于有铬、铜合金的作用,全D型铸件厚大部位的基体中珠光体量也在90%以上,抵消了D型石墨对基体组组织的影响。
试验结果表明,在钛含量较低的干型铸造中,铁液的过冷倾向较小,多产生A型、E型石墨,但随着钛含量增加,过冷倾向增大,促进了D型石墨增多,当D型石墨达90%以上,铸件力学性能明显提高。由于湿型砂过冷倾向大,以及钛含量增加,铸件的厚大热节部位也出现大量的D型石墨。
钛增加了灰铸铁铁液的过冷倾向,使石墨大量分枝,众多短小、弯曲的D型石墨缩短了碳的扩散距离,使石墨附近的奥氏体在铸件冷却过程转化成铁素体,导致力学性能降低。但是由于奥氏体枝晶多,D型石墨短小,基体割裂作用小。此外,D型石墨共晶团有良好的团球状外形等原因,与相同基体的铸铁相比,D型石墨铸铁具有较高的强度。
2.2 钛、铝对致密性的影响
熔炼中生铁或废钢带入的钛不仅影响灰铸铁件的加工性能,产生的缩松缺陷,又对铸件的致密性产生影响。试验采用低钛铁液,通过添加一定量的钛铁,研究不同钛含量下灰铁件缩松出现的概率。由于钛合金中含有一定量的铝,而一定量的铝也可能对铸件的缩松产生影响,因此在影响因素分析和化学检测中考虑了铝的因素。
熔炼采用的主要炉料配比:生铁45%,回炉料20%,废钢35%以及部分高温石墨化增碳剂。每炉铁液同时浇注3~4箱铸件,以便分析铸件出现缩松概率。铁液成分与缺陷概率统计如表3、表4所示。
表3 铁液成分 wB/%

表4 铸件缩松概率


图5 铸件一般壁厚上的缩松

图6 铸件热节部位的缩松
不同钛含量对比试验结果表明:较低钛含量的灰铸铁件并未出现内部缩松,表面缩陷较轻,随着钛含量增加,铸件内部缩松出现的概率不断增加。在0.056%Ti、0.016%Al出现缩松概率较低,仅为50%。当灰铸铁件中钛、铝含量分别达到0.17%、0.023%时,铸件出现内部缩松概率为75%。此时不仅铸件热节部位出现缩松,非热节和小热节部位也出现缩松。铸件不同部位出现的缩松特征如图5、图6所示。
关于钛产生缩松的原因,目前尚没有明确机理分析。对于铝的影响,资料指出铁液中铝含量的增加,与孕育剂、湿型砂中水分子在炽热铁液作用下发生反应,形成氢气。金属液含氢量较高,凝固过程中残余液相中的溶解氢不断地富集,使孤立的小熔池中液相的含氢量更高。小熔池由液相转变成固相发生体积亏损的同时,溶解氢也会析出而占据小熔池的空间,成为析出气孔。此时晶间缩松和氢析出气孔两种缺陷是共生的,难以区分。因此,要消除晶间缩松,还必须采取防止析出气孔的对策,尽量减少金属液含氢量。所以钛和铝的综合作用下容易形成这种显微缩松和显微气孔复合缺陷。
3 结论
试验结果表明,灰铸铁件在3.65%~3.85%CE条件下:
(1)一定量的钛增加了铁液的过冷倾向,促进了灰铸铁件D型石墨的形成,湿型砂造型D型石墨明显多于干型砂。
(2)随着铁液中钛量的增加,灰铸铁件中D型石墨不断增加。当D型石墨达到较高比例时,铸件中的厚大热节也大量出现D型石墨,碳当量和硅碳比较高的铸件力学性能明显增加;当碳当量降为3.66%,随着钛量增加,强度下降幅度大。
(3)随着钛量和铝量的增加,灰铸铁件的致密性下降,缩松概率明显增加。Ti 0.17%、Al 0.023%时,该灰铸件缩松概率为70%。
工程师必备
- 项目客服
- 培训客服
- 平台客服
TOP




















